Glioblastoma Multiforme y las Cartas a Theo
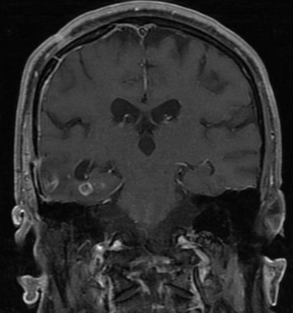
El primer año de residencia me tocó atender a un investigador italiano radicado en México, investigador emérito (física y matemáticas) con diagnóstico de glioblastoma multiforme recurrente. Se hospitalizó para resección (por tercera vez) aunque ya había recibido quimioterapia y radioterapia.
El glioblastoma había iniciado en el lóbulo temporal, pero se había extendido rápidamente, con pobre respuesta a tres modalidades terapéuticas (cirugía + radioterapia + quimioterapia). Como la mayoría de los tumores de este tipo, el pronóstico es muy pobre. Siempre que lo veía en consulta me platicaba de su investigación en física y tenía sus propias teorías (llenas de fórmulas matemáticas que nunca logré entender) sobre el comportamiento biológico de su tumor. Cuando se hospitalizó, sus dos hijas tomaban turnos para cuidarlo, nunca lo dejaban solo. En su cuarto siempre tenían varios libros de arte y me llamó la atención uno de Vincent van Gogh.
Una de ellas me recomendó ese libro titulado Cartas a Theo. Van Gogh tuvo una vida compleja, llena de excesos, y se le han atribuidos diferentes enfermedades neurospiquiátricas incluyendo esquizofrenia e intoxicación por digitálicos (su periodo amarillo quizá, la intoxicación por digoxina causa visión amarilla). Este libro recopila las cartas que van Gogh escribió a su hermano a lo largo de su vida, y nos da una oportunidad de conocer los ángeles y demonios de este famoso artista.Unos meses después una de sus hijas me envió un mensaje para avisarme que había fallecido de complicaciones del tumor y que los últimos días de su vida los pasó en casa, en compañía de su familia. Me agradeció el tiempo que le dedicamos a su padre y de repente aún me manda un mensaje con una foto o alguna noticia alusiva a van Gogh (ella me recomendó la película de Loving Vincent, una verdadera obra maestra).
Los dos nos entendemos así.
–
–
–
10.02.19
